Servicios de Salud Ofrecidos

Somos GM SALUD HUMANA. Nuestra sede principal está en la ciudad de Bogotá.

 

La forma más fácil de obtener nuestros servicios es escribiendo a nuestro WhatsApp 3167561793. Incluido el servicio de asesoría y consultoría en la Implementación y Desarrollo de Sistemas de Gestión en Seguridad y Salud en el Trabajo de las empresas, brindado en la ciudad de Bogotá.

 

Abajo debe usted encontrar el servicio médico que está buscando. Brindamos servicios en 31 ciudades a julio de 2023.

 

Nuestro director es el Dr. Germán Maldonado Morales, egresado de la Universidad Nacional. Usted puede verificar su idoneidad en la Página del Ministerio de Salud y Protección Social de Colombia: 

https://web.sispro.gov.co/THS/Cliente/ConsultasPublicas/ConsultaPublicaDeTHxIdentificacion.aspx

 

Allí puede usted verificar su registro en el ReTHUS con su número de cédula : 19438233

BÚSQUEDA POR CIUDADES:

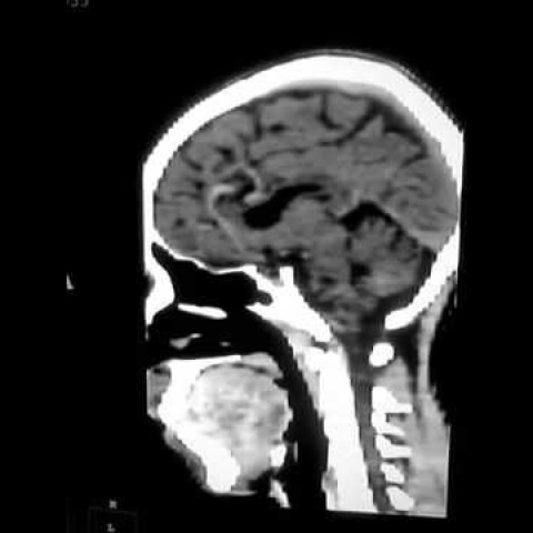
Tomografia computada de craneo simple. EN. Codigo CUPS 879111 (2022)

Categoría:
Apartado, Medellin, Sabaneta
SKU/Código:
808
Precio:
$176000
{{variant.name}}:
{{opt.name}}
{{opt.value ? '' : opt.name}}
{{opt.value ? '' : opt.name}}
Descripción

ESCANOGRAFIA NEUROLOGICA S.A.

 

Medellin, Barrio Prado Centro: Calle 59 # 50 A - 14

Sabaneta, Carrera 48 # 50 sur 128. Al interior del Centro Comercial Mayorca Mega Plaza

Apartadó, Carrera 98 # 102 -11 Clinica Chinita, primer piso

 

Venta directa: 5%